你知道吗?现在很多人都在追求完美笑容,而牙齿矫正就是实现这一目标的重要途径。今天,我要给你揭秘一个超级热门的牙齿矫正方法——隐适美,并且,我还找到了一些超有趣的成人矫正隐适美牙齿的视频,保证让你大开眼界!
隐适美:隐形矫正的新宠

首先,让我们来了解一下隐适美。它是一种隐形矫正器,采用透明材料制作,几乎看不见,因此备受成年人喜爱。与传统矫正器相比,隐适美具有很多优势,比如:
1. 隐形美观:隐适美矫正器透明,佩戴后几乎不被察觉,非常适合注重形象的人群。
2. 舒适度更高:隐适美矫正器采用个性化定制,贴合牙齿,减少了对口腔软组织的刺激。
3. 方便清洁:由于矫正器是可拆卸的,清洁起来更加方便。
成人矫正隐适美的过程

接下来,让我们看看成人矫正隐适美的具体过程。以下是一些真实案例,让你更直观地了解整个过程。
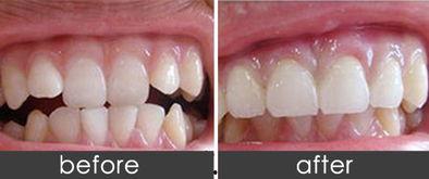
案例一:矫正前后的变化

小王是一位上班族,因为牙齿不齐,一直很自卑。在朋友的推荐下,他选择了隐适美矫正。以下是他的矫正过程:
- 第一阶段:小王佩戴了第一副矫正器,每天需要佩戴22小时,仅吃饭、刷牙时取下。
- 第二阶段:经过一段时间的矫正,小王的牙齿开始逐渐变得整齐,自信心也逐渐恢复。
- 第三阶段:经过几个月的矫正,小王的牙齿已经基本整齐,矫正效果非常满意。
案例二:矫正过程中的注意事项
小李是一位大学生,为了矫正牙齿,选择了隐适美。以下是她在矫正过程中的注意事项:
- 定期复诊:小李每个月都要去医院复诊,医生会根据她的牙齿情况调整矫正器。
- 保持口腔卫生:由于矫正器是可拆卸的,小李需要更加注意口腔卫生,每天刷牙、使用牙线。
- 避免食用硬物:为了保护矫正器,小李在矫正期间尽量避免食用硬物。
成人矫正隐适美牙齿视频大揭秘
现在,让我们来看看一些有趣的成人矫正隐适美牙齿视频,让你更直观地了解整个过程。
视频一:隐适美矫正器制作过程
这个视频展示了隐适美矫正器的个性化定制过程,从取模、设计到制作,让你了解矫正器的制作过程。
视频二:成人矫正隐适美的真实案例
这个视频记录了一位成年人在矫正过程中的点点滴滴,包括矫正前后的变化、注意事项等,非常具有参考价值。
视频三:隐适美矫正器的日常护理
这个视频教你如何正确佩戴、清洁隐适美矫正器,以及如何应对矫正过程中的不适。
通过以上内容,相信你对成人矫正隐适美牙齿有了更深入的了解。如果你也想拥有完美笑容,不妨试试隐适美矫正器吧!记得关注我,获取更多牙齿矫正知识哦!